tracking tracking
Hudson Orthodontics
Hudson Orthodontics - Logo
RESULTS GALLERY

Results Gallery

At Hudson Orthodontics we proudly stand by our results, and we are delighted to show you some of our excellent finishes below.

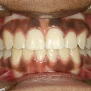
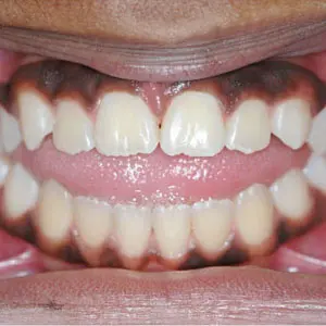
Amara

before

Before

after

After

before

Before

after

After


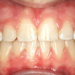
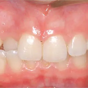
Charlotte

before

Before

after

After

before

Before

after

After